How to Reverse Gum Recession
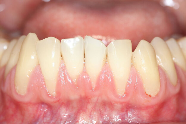
When you start noticing gum recession, it can be frightening to think about the consequences. Gum recession is a common condition where gum tissue begins to pull back and expose more of your teeth, leading to sensitivity, discomfort, and an increased risk of tooth decay. Luckily, you can take steps to stop and reverse gum…


